放射線科は、放射線診断に関する検査や撮影業務を専門に行う診療放射線技師20名(放射線治療科除く)で構成されています。われわれは、CTやMRIをはじめとした高度放射線医療機器を扱うスペシャリストです。日常業務においては、放射線診断科医師指導のもと、業務連携や情報共有を密にし、早期診断、早期治療のお役に立てるよう画像提供しています。また当院は、地域の基幹病院で救急病院としての役割も担うため、365日24時間すべての装置に対応できる救急撮影に特化した放射線技師を配置しています。
放射線科は、下記内容を目標とし、業務を行っています。

CT(Computed Tomography)とは、X線を利用して断層画像を得る装置です。患者さんにはCTのベッド上に寝ていただき、ベッドがドーナツ状の機械の中を通る間に撮影します。頭から足先までの全身を撮影することができる検査です。
X線を利用した検査ですので、金属のついた服や下着、貴金属類をはずしていただく場合があります。また、ペースメーカーや連続血糖測定器等を装着されている方、妊娠の可能性のある方は、事前に主治医へお申し出ください。検査時間は、検査部位や目的により異なりますが、概ね5~20分程度です。
より詳しい検査のためにヨード造影剤を使用することがあります。造影剤検査は一般的に安全な検査ですが、稀に副作用があります。喘息やアレルギー性疾患の方は、事前に主治医へお申し出ください。
当院には2台のCT装置があります。撮影部位や目的に応じて最適な装置で検査を致しますので、検査目的などに応じて順番が前後する場合があります。











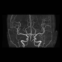
MRI(Magnetic Resonance Imaging/磁気共鳴画像)は、強力な磁石と電波を用いて体の内部を詳しく撮影する検査です。
放射線被ばくがなく痛みもない安全な検査です。通常20~40分程度で終わります。
脳だけでなく、全身のさまざまな部位の検査が可能です。
脳・脊椎・関節・四肢・腹部・骨盤・乳腺など幅広い部位に対応しています。
当院では最新の3テスラMRI装置を導入しており、従来の1.5テスラ装置とあわせて検査内容に応じた撮影を行っています。
3T MRIでは、高精細でより詳細な画像診断が可能です。





3T MRIを用いた脳ドックも行っています。
脳ドックは、脳の病気を未然に防ぐことを目的とした予防的な検査です。
脳・脳血管・頚部血管を詳しく調べ、
などの有無を確認し脳梗塞やクモ膜下出血を発症する前にリスクを発見できる可能性があります。
自覚症状のない段階での早期発見・予防に役立ちます。



核医学検査とは、人体に影響の少ないごく微量の放射線同位元素を注射あるいは服用して行う検査です。検査の目的によって投薬時間と検査開始時間の違いがあります。
対象となる疾患は、脳神経系、循環器系、呼吸器系、骨・腫瘍・炎症系、消化器系、泌尿器系、内分泌系など多岐にわたっており、さまざまな病態や機能の診断ができます。
当院の検査装置は2台あり、2022年に導入されたGE社製心臓専用半導体装置『MyoSPECT』は、心臓に特化しており、より低被ばく、かつ短時間で撮像ができます。そのため、患者さんに身体的負担が少ない検査です。
また、技術面に関しても放射線専門医、核医学専門医の指導のもと、核医学専門技師認定機構の核医学専門技師3名が検査を担当いたします。

血管撮影(アンギオ)とは、血管の形状や異常、腫瘍への血管や血流の状態を検査・治療をすることです。カテーテルを使って血管内に造影剤を注入し、血流や腫瘍の分布、また血管の狭窄や閉塞を検査・治療します。
当院では2010年から13年間、Philips社製の血管撮影装置Allura(アルーラ)を使用してきましたが、2023年9月より同じPhilips社製のAzurion(アズリオン)に更新しました。Azurionは、脳血管疾患(脳動脈瘤、脳動脈血栓症など)、循環器血管疾患(頸動脈狭窄症、胸腹部大動脈瘤、下肢閉塞性動脈硬化症など)、消化器疾患(肝臓がん、胆管がん、膵臓がんなど)において患者さんに、より負担の少ないカテーテル治療時に使用されます。
従来の機器より被ばく低減と高画質を両立したClarity IQテクノロジーに加え、新たに開発した運用システム「コネクトOS」により、他社の周辺機器も含めたカテ室内の機器情報を1つのパネルで表示し、操作することが可能です。また、画像撮影中も操作室で別の作業ができるため、今までできなかった並行作業を実現し、検査担当者の手技時間を削減します。これらのことから、以前の使用機器と比較して被ばく線量を低減することができ、併せて患者さんの身体的な負担も少なくしながら、高画質な画像を提供することが可能となりました。
血管撮影室では、これらの装置を使用して少しでも多くの患者さんの手助けになればと考えております。
単純X線撮影とは、いわゆるレントゲン撮影のことで、X線を使い、胸部や腹部、骨の状態を撮影します。
当院ではFPD(Flat Panel Detector)装置を導入しており、撮影直後に画像を確認できるため、迅速な検査が可能です。また、少ない線量でも従来と同等の画質を得られ、被ばくの低減にもつながっています。画像はデジタルデータで保存するため、撮影後でもさまざまな画像処理を行うことが可能です。撮影体位は、立位・座位・臥位など撮影部位ごとに異なります。事前に検査着へ着替えていただいたり、ギプス・装具・その他装飾品などを外していただく場合もあります。スタッフの指示に従って検査をお受けください。

近年、食生活などの変化の影響で12人に1人が乳がんにかかると言われています。乳房撮影装置は、乳房専用の装置で、乳房をはさんで薄くのばし、緻密な構造(乳腺・石灰化・腫瘤など)を描出するため、非常に有用です。早い段階で約90%治癒される乳がんにとって、マンモグラフィ撮影は、必須項目です。また、早期発見は、女性にとって精神的苦痛とも言える「乳房全摘術」を行わず「乳房温存療法」が可能となります。マンモグラフィは、触診などで分かりにくい早期の乳がんや、微小石灰化病変・乳管拡張病変などの発見に最適な検査です。
当院では、マンモグラフィ精度管理中央委員会認定の乳房撮影装置Senographe Pristinaを2017年2月に導入しました。高画質で低線量をハイレベルで両立し、かつ乳房圧迫時の痛みを少しでも軽減できる特徴を持っています。また、この装置は新しい技術であるトモシンセシスが可能です。トモシンセシスとは、従来のマンモグラフィ撮影に加え、X線管球を移動させながら連続的に撮影し、収集した画像データを3次元的に再構成後、見たい構造に焦点を合わせた画像の提供が可能な技術です。従来を2Dマンモグラフィとすれば、トモシンセシスは3Dマンモグラフィということになります。従来の撮影(2D撮影)では、乳腺内に隠れて見えなかった病変も、高画質なトモシンセシス(3D撮影)により見つけ出しやすくなります。
当院では、精度管理中央委員会認定の女性の放射線技師が撮影し、認定医師が診断し、乳がんの早期発見に努めています。
近年、高齢化社会にともない、大腿骨頚部骨折や胸腰椎の椎体骨折の原因となる骨粗鬆症への関心が高まっています。さらに、現代の食生活の変化や無理なダイエットによる骨密度の減少もクローズアップされてきています。骨密度の減少を早期に発見できれば骨粗鬆症の予防や適切な治療を行う事が可能です。
当院のX線骨密度測定装置は、DXA法(二重エネルギーX線吸収測定法)を用いた装置で、骨粗鬆症の診断および治療効果の判定に優れています。腰椎と大腿骨の2か所で骨密度の測定を行い、何の苦痛もなく3分程度で検査が終了します。
放射線科の画像をデジタルデータとして受信し、保管・管理・参照することを目的としたシステムです。
※当院ではCT・MRI・一般撮影などの放射線科画像以外にも、超音波・内視鏡といったデータに加え、紙に記録された骨密度検査・心電図データなどもDICOMという共通規格のデータ形式に変換して一元管理しています。
